#

Radiografia Periapical

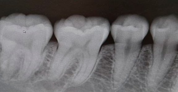
A radiografia Periapical ou RX Periapical é um exame que serve para visualizar radiograficamente a anatomia de um ou mais dentes (desde a coroa até o término da raiz), assim como as estruturas anatômicas vizinhas, ou seja, que estão ao redor dos dentes. Esta radiografia pode ser usada para estudar qualquer um dos dentes (molares, pré-molares, incisivos e caninos), seja na arcada dentária superior ou na inferior para fins de diagnóstico e tratamento.

Indicações

• Avaliação de qualidade óssea;
• Diagnosticar presenças de cáries e sua extensão;
• Avaliação de anomalias dentárias, reabsorções radiculares internas e externas;
• Visualizar presenças de obturações eou infiltrações;
• Avaliação da presença e posicionamento de dentes não-irrompidos;
• Avaliar coroas e raízes dos dentes permanentes;
• Procedimentos endodônticos.

O raio x periapical é o exame mais frequente no que diz respeito à radiografia intraoral (radiografias do interior da boca). Abrange, habitualmente, apenas uma determinada área, visualizando-se, normalmente, apenas 2 a 3 dentes contíguos (juntos), permitindo desta forma avaliar a anatomia dos dentes no seu todo de uma forma mais detalhada.




Instagram

#

Tomo3D Radiologia Odontológica